ЕДИНЫЙ СПРАВОЧНЫЙ НОМЕР
+7 (495) 108-05-05
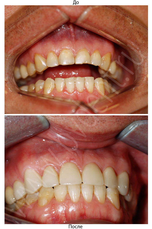
Керамические виниры
Многие люди мечтают о красивой и ровной улыбке, но часто собственные зубы имеют сколы, неровности, небольшие расстояния или неравномерный цвет, не подвергаемый коррекции.
Врачи-стоматологи Сети семейных стоматологий «Белла Вита Дент» предлагают решение данного вопроса в Москве с помощью установки керамических виниров. Это современный, надежный нехирургический способ изменения вашей улыбки за небольшой период времени с гарантированным эстетическим результатом.
Что представляют из себя керамические виниры и как происходит их установка?
Ниже мы ответим на эти вопросы и расскажем об особенностях данного типа микропротезирования.
По факту, винир – это тонкая накладка 0,3-0,5 мм, изготавливаемая из керамических материалов в специальной зуботехнической лаборатории по предварительным слепкам. То есть каждое изделие представляет собой индивидуальную фронтальную пластину, покрывающую ваш каждый зуб в зоне улыбки или все те зубы, которые вы пожелали. Так как каждый винир изготавливается индивидуально для вас, он несет в себе определенный набор характеристик, необходимый конкретно для вашей улыбки – форму, размер и цвет, позволяющий достигнуть желаемого вами результата сразу после установки.
Естественно, перед изготовлением керамических виниров происходит подготовка – каждый зуб, задействованный в реконструкции, обтачивается на глубину установки изделия – 0,3 – 0,7 мм, снимаются индивидуальные слепки, происходит моделирование, цель которого – скрыть все имеющиеся недостатки посредством изготовления идеальной для вашего зубного ряда формы виниров и желаемого вами цвета. После того, как модели изготовлены, все нюансы согласованы и вы полностью представляете себе, как будут выглядеть ваши зубы после микропротезирования, наступает этап изготовления. Обычно он занимает 1-3 недели.
Сама установка не занимает много времени и состоит в том, что керамические пластинки специальным клеем прикрепляются на обточенные зубы и надежно фиксируются. После установки виниры могут эксплуатироваться вами с теми же разумными ограничениями, что и ваши собственные зубы – не стоит подвергать их излишним механическим воздействиям, не реже двух раз в день совершать гигиенические процедуры привычными для вас средствами, регулярно посещать стоматолога для проведения профилактического осмотра. При этом стойкое мнение, что керамические виниры подвержены окрашиванию является мифом – материал, из которого они изготавливаются стоек к изменению цвета, не тускнеет и не меняет свойств светоотражения с годами. Так же не существует каких-либо сроков их эксплуатации – при бережном обращении, правильной гигиене и периодических осмотрах виниры прослужа много лет, не теряя своих свойств.
Друзья, если вы мечтаете об идеальной улыбке, но ваши собственные зубы не дают вам такой возможности, приходите на бесплатную консультацию к врачам Сети семейных стоматологий “Белла Вита Дент” и мы поможем вам достигнуть результата качественными керамическими винирами, изготовленными специально для вас.

Академическая
Братиславская
Авиамоторная


